|  | Главное в жизни – это здоровье. Медицинский центр «Ваше Здоровье» поможет Вам обрести здоровое тело и поддерживать свой организм в отличном состоянии. | 
| Навигация Медицинский центр "Ваше Здоровье" - НОВОСТИ 
 
 | Диагностика пневмонии и повреждений грудной клетки на дому
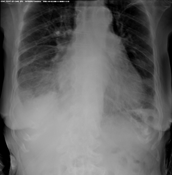
 Рентгенография легких на сегодняшний день остаётся одним из наиболее часто назначаемых методов диагностики заболеваний лёгких. Рентгенограммы грудной клетки являются неотъемлемой частью диагностического процесса в терапии, хирургии, анестезиологии и профессиональных болезнях. Важное значение рентген легких имеет при ежегодных профилактических осмотрах населения и рентгенконтроле групп риска. Наиболее частой причиной, по которой врачи различных специальностей, в первую очередь врачи терапевты поликлиник, назначают рентген легких, является подозрение на пневмонию. Пневмония – простыми словами воспаление легких – острое воспаление легочной ткани инфекционного происхождения с преимущественным поражением альвеол и интерстициальной ткани легкого. При этом жидкость скапливается в просвете альвеол, что ведет к уменьшению дыхательной поверхности легких. Пневмония может быть самостоятельным заболеванием или быть осложнением другого. Заподозрить пневмонию можно при аускультации (выслушивании) легких при дыхании. Поздняя диагностика и задержка с началом антибактериальной терапии ухудшают прогноз заболевания, возможен летальный исход. Поэтому при малейших подозрениях необходимо сделать рентген легких, особенно пожилым пациентам, а при подтверждении диагноза – поставить вопрос об экстренной госпитализации. Пневмония может лечиться и дома, но такое решение может принять только врач, основываясь на оценке состояния больного, рентгенологической картины легкого и анализов крови. Лечение пневмонии в большинстве случаев требует внутривенного введения антибиотиков, инфузионной терапии (капельниц) и других препаратов. Пациенты, обратившиеся в медицинский центр «Ваше Здоровье», смогут получить весь комплекс необходимых лечебно-диагностических мероприятий, в т.ч. рентген на дому. Второй наиболее частой причиной, по которой выполняется рентген грудной клетки, является травма груди с подозрением на перелом рёбер. Может показаться, что ушиб грудной клетки является несерьезным основанием, чтобы обратиться к врачу и сделать рентген. Однако приглушая боль приёмом обезболивающих препаратов, можно пропустить ряд опасных осложнений. Сломанные рёбра могут ранить легкое и вызвать пневмоторакс, т.е. скопление воздуха, или гемопневмоторакс, т.е. скопление крови и воздуха в грудной полости. Перелом трех и более рёбер может вызвать серьёзные дыхательные нарушения, что особенно опасно у пожилых пациентов. Поэтому не стоит рисковать здоровьем и необходимо сразу обратиться к врачу. Пациенты, обратившиеся в наш медицинский центр "Ваше Здоровье", смогут получить весь комплекс необходимых лечебно-диагностических мероприятий, в т.ч. рентген на дому. Получение качественных рентгеновских снимков на дому предъявляет серьёзные требования к рентгеновской аппаратуре. Далеко не каждый переносной рентгенаппарат позволяет получать снимки необходимого качества, чтобы достоверно поставить диагноз. Используемый нами рентгенаппарат АРА 110/160 в комплексе с компьютерным радиографом позволяет получать цифровые рентгеновские снимки высокого качества у пациентов различной комплекции и является уникальной услугой в Санкт-Петербурге, предоставляемой на дому. Не рискуйте своим здоровьем и здоровьем своих близких. Не теряйте драгоценное время, если у Вас есть сомнения. Позвоните к нам по телефону 921-40-15. Квалифицированные врачи медицинского центра «Ваше Здоровье»поставят Вам правильный диагноз и назначат необходимое лечение.  Пациент Д. 56 лет. Жалобы на температуру, небольшой кашель. Выполнен рентген легких. Патологии не выявлено.  Рентген, анализы, узи, экг и другие медицинские услуги » Рентген легких тел. 921-40-15 в Санкт-Петербурге 
 | На дому осуществляется: √ ЭКГ на дому с расшифровкой √ КРЕПКИЕ КОСТИ. ЗДОРОВЫЕ СУСТАВЫ. 
 Поиск лекарств | 
| город Санкт-Петербург, рентген, анализы, узи, экг, др. медицинские услуги на дому в Санкт-Петербурге |